신경관 임플란트, 입술 마비 없이 성공한 실제 사례<의사 작성>
신경관 임플란트,
입술 마비 없이 성공한 실제 사례<의사 작성>
“어금니 염증이 심한데 임플란트 가능할까요?”
“잘 못 하면 입술 마비가 온다는데 괜찮을까요?”
안녕하세요.
대한민국 3%, 5명의 전문의가 협진해 월평균 352개의 임플란트 식립을 진행하는 곳.
향남 유일 365일 진료를 통해 환자분들께 씹.는 행복과 자신감까지 찾아드리고 있는 365향남플란트치과 김수걸 원장입니다.

임플란트는 잃어버린 치아를 대체하는 가장 효과적인 방법으로 많은 치과에서 시술하고 있는데요.
그러다 보니 쉽게 인공치를 심고, 치료할 수 있다고 느껴질 수 있습니다.
하지만, 같은 수술이라도 치조골의 상태, 기존 치아의 염증 여부, 그리고 감각 신경의 위치에 따라 고난도 케이스가 있기도 한데요.
특히, 아래 어금니를 대체하는 치료를 할 때는 아랫입술과 혀의 감각을 담당하는 하치조신경의 위치가 수술 난이도에 큰 영향을 줍니다.
자칫 입술과 혀 감각 마비가 올 수 있기 때문에 진단 단계에서부터 정확히 위치를 파악하고 치료 계획을 세워야 하는데요.

치료 전

치료 후
오늘은 치주염으로 염증이 많았던 어금니 신경관 임플란트를 입술 마비 없이 성공적으로 치료한 사례를 통해 진단과 치료계획에서 중요한 사항을 안내해 드리려고 하는데요.
아래 어금니 임플란트를 계획하고 계신다면 2분만 집중해서 끝까지 읽어주시면 도움이 되실 것 같습니다.
내원 당시 상황
정확한 진단과 계획

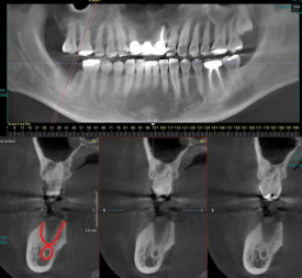
24.03.02 초진 파노라마
환자분께서는 오른쪽 아래 어금니가 붓고 통증이 심해 저희 병원에 방문 해 주셨습니다.
먼저, 엑스레이를 촬영해 치조골 상태를 확인해 보았는데요.
오래전 신경치료와 보철을 씌운 오른쪽 아래(사진상 왼쪽) 어금니 뿌리 주변으로 염증이 심해 치조골이 손상된 상태였습니다.


(빨간색 튜브처럼 표시한 곳이 하치조 신경관)
뿌리 주변으로 고름도 나오고 있고, 하치조 신경.관과 염증이 가까운 위치에 있어 주변 치아에 영향을 주기 전에 빠른 발치가 필요했는데요.
※ 하치조 신경관이란?
아래턱(하악골) 내부를 지나는 신경관으로, 감각 신경이 지나가는 중요한 구조입니다.
이 신경은 아랫입술,턱부위, 그리고 치아 주위의 감각을 담당합니다.
따라서 임플란트가 신경관에 너무 가까워지면 통증, 감각 이상, 또는 마비 같은 문제가 발생할 수 있습니다.
|
환자분께 상황을 설명해 드리고 당일 발치와 염증 제거를 먼저 하기로 결정하였습니다.
치료계획 3가지 Point!
감각 마비를 예방하는 진단과 계획

24.04.12 / 발치 후 약 1개월 경과 시점
상실된 어금니는 여건이 가능하다면 발치와 동시에 수술을 진행해서 회복 기간을 단축하고 있지만, 불가능한 때도 있는데 그중 하나가 치조골 잔존량이 적고 신경.관과 가까운 경우입니다.
요즘은 과거에 비해 짧은 임플란트(길이 4~5mm)여도 장기적으로 잘 고정되지만, 초기에 임플란트 고정력을 얻기 위해서는 신경.관 위로 최소 3~4mm 잇몸뼈의 두께가 확보되어야 하는데요.
월평균 352건의 수술을 진행하며 다양한 치료 경험을 지닌 구강외과 전문의와 분야별 5인의 전문의의 경험상 남아있는 잇몸뼈가 얇다면 회복되는 것을 안전하게 기다린 후 식립하는 것을 권해드립니다.

사진 설명을 입력하세요.
환자분께는 CT 판독 사진을 보여드리고 충분히 상담해 드린 후 기간이 걸리더라도 안전하게 식립하기로 하였습니다.
- 하치조신경관 상방으로 3~4mm 잇몸뼈 두께 확보
- 치조골 염증 제거 후 충분한 회복 후 식립
- 3차원 CT로 위치 확인 후 식립
신경관 임플란트를 식립하신다면 초기 상담에서 반드시 위 3가지를 충분히 설명 듣고 안전하게 시술받으시라고 말씀드리고 싶습니다.
치료 과정
무리하지 않는 환자 중심 치료과정


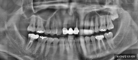
24.06.21 잇몸뼈 회복으로 신경관 상방 치조골 6.2mm 확보
발치 후 회복 기간 동안 정기적으로 체크하며 잇몸뼈의 두께가 확보되는지 확인하였습니다.
약 3개월 정도 기다리는 동안 신경 위로 약 6.2mm의 잇몸뼈가 확보된 것을 확인하고 신경관 임플란트 식립을 진행하였는데요.
저희 의료진과 정기적으로 소통하시며 잘 협조해 주신 환자분 덕분에 13.5mm의 초기 고정력을 얻기 충분한 길이의 임플.란트를 심을 수 있었습니다.

24.06.21 임플란트 식립
그뿐만 아니라 최대한 편안한 환경에서 치료받으실 수 있도록 무통 마취를 통해 통증을 최소화한 상태에서 수술이 진행되었는데요.
수술이 끝난 후 환자분께서는
“무리하지 않고 충분히 기다린 덕분에 편안하게 수술받았어요!”
라고 하시며 좋아해 주셔서 저희 의료진도 뿌듯한 마음이었습니다.
하나라도 더 심기 위해서 발치 당일 짧은 임플.란트를 심을 수도 있겠지만,
저희 5인의 전문의 모두 내 가족을 치료하는 마음으로 환자분의 입장에서 가장 좋은 방법이 무엇일지 생각하며 치료계획을 세우는데요.
‘무리하지 않고 장기적인 관점에서 건강한 치료만을 하자!’
라는 마음으로 항상 환자 중심 진료를 하겠습니다.
치료 완료
월평군352건의 구강외과 전문의 풍부한 경험

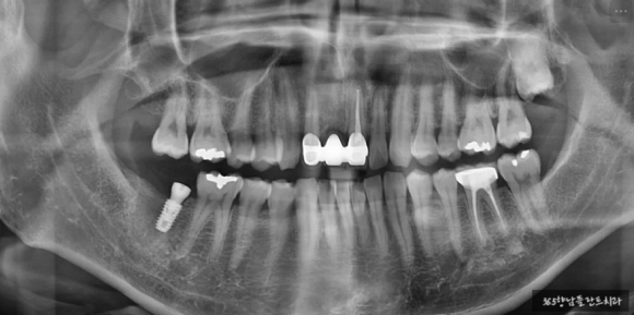
24.03.02 치료 전

24.06.21 식립 후

24.10.18 치료 완료
인공치아 뿌리 식립 후 잇몸뼈와 충분히 고정되는 것을 기다린 후 기둥을 세우고 신경관 임플란트 치료를 완료하였습니다.
신경관 임플란트,
입술 마비 없이 성공한 실제 사례<의사 작성>
임플.란트는 많은 곳에서 진행하고 있는 시술이지만 안전한 진료를 위해서는 해부학적 지식이 풍부하고, 진단 장비가 잘 갖춰진 곳을 선택해야 합니다.
그뿐 아니라 풍부한 경험을 가진 구강외과 전문의의 정확한 진단과 치료 계획을 상담받아야 입술. 혀 감각 이상 같은 부작용을 예방할 수 있는데요.
- 정확한 신경관 위치 파악
- 적절한 잇몸뼈 유지
- 경험 많은 구강외과 전문의
이 3가지는 꼭 기억하시면 좋겠습니다.
대한민국 3% 5명의 전문의가 협진해 365일 밤 9시까지 진료하고 있는 365향남플란트치과도 있으니 참고해 주셔도 좋겠습니다.
긴 글 읽어주셔서 감사합니다.


